Bạn cần biết
Tiện ích
Liên hệ
Theo dõi báo trên
Quảng cáo
Đặt báo
Đăng nhập
Bình luận mới được duyệt
Xem tất cả
Thông tin tài khoản
Đổi mật khẩu
Tin đã lưu
Tin đã xem
Đăng xuất
Chính trị
Chính trị
Thời sự
Thời sự
Thế giới
Thế giới
Kinh tế
Kinh tế
Đời sống
Đời sống
Sức khỏe
Sức khỏe
Giới trẻ
Giới trẻ
Giáo dục
Giáo dục
Du lịch
Du lịch
Văn hóa
Văn hóa
Giải trí
Giải trí
Thể thao
Thể thao
Công nghệ
Công nghệ - Game
Xe
Xe
Video
Video
Tiêu dùng
Tiêu dùng
Thời trang trẻ
Thời trang trẻ
Đóng menu
Chào ngày mới
Tin 24h
Tin thị trường
Tin 360
Video
Magazine
Tiện ích
Bạn cần biết
Liên hệ
Thông tin toà soạn
Liên hệ quảng cáo
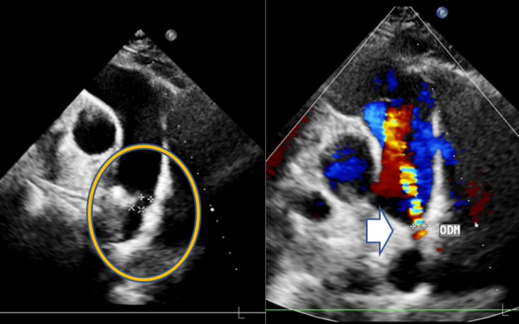
Khoa Tim mạch - Tim mạch can thiệp BVĐK Hồng Ngọc
Rút ngắn thời gian nằm viện sau can thiệp tim mạch: Yếu tố nào quyết định?
Trước đây, nhiều bệnh nhân tim mạch, đặc biệt là người cao tuổi phải nằm viện khoảng một tuần sau can thiệp. Tuy nhiên hiện nay, nhờ điều trị đúng thời điểm cùng quy trình chăm sóc bài bản, không ít người bệnh có thể phục hồi nhanh hơn và xuất viện chỉ sau 2-3 ngày.
Bàng hoàng phát hiện dị tật tim bẩm sinh sau hơn 30 năm sống khỏe mạnh
Top