Theo ThS - BS Nguyễn Hoàng Vũ, khoa Sản phụ khoa, Bệnh viện Đại học Y khoa Phan Châu Trinh, bệnh nhân (BN) đã sinh mổ hai lần và đang đặt vòng tránh thai ổn định 3 năm. Trước khi nhập viện, BN bị ra máu âm đạo lắt nhắt hơn 2 tuần, không sốt, không choáng và chỉ đau âm ỉ vùng bụng dưới. Vì triệu chứng nhẹ, BN nghĩ kinh nguyệt đến trễ nên không đi khám.
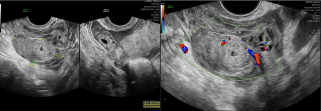
Tuy nhiên, khi thăm khám, BS ghi nhận túi cùng căng, nghi ngờ có dịch trong ổ bụng. Siêu âm đầu dò phát hiện khối giống túi thai nằm tại vòi trứng trái kèm dịch máu trong ổ bụng. Định lượng beta-hCG cho kết quả 289 mIU/ml. "Bệnh nhân may mắn được phát hiện trước khi diễn tiến nặng hơn", BS Vũ cho hay.

Hình ảnh siêu âm tử cung phần phụ
Ca mổ nội soi khẩn cấp được thực hiện ngay khi tiếp nhận bệnh, ghi nhận vòi trứng trái đã vỡ dài khoảng 2cm, máu trong ổ bụng khoảng 200 - 250 ml. Khối thai được lấy ra, cầm máu triệt để và BN không cần truyền máu. Sau 24 giờ, BN đi lại được, ăn uống bình thường và xuất viện sau 2 ngày.

Ca mổ nội soi khẩn cấp được thực hiện ngay khi tiếp nhận bệnh
BS Vũ chia sẻ: "Thai ngoài tử cung là một trong những nguyên nhân hàng đầu gây tử vong mẹ trong ba tháng đầu thai kỳ. Điều đáng nói, nhiều trường hợp không có triệu chứng điển hình. Ra huyết âm đạo ít, kéo dài hoặc đau bụng âm ỉ là những dấu hiệu rất dễ bị bỏ qua, đặc biệt ở phụ nữ bận rộn. Không ít người nghĩ đó chỉ là rối loạn kinh nguyệt và đến viện khi đã có biến chứng xuất huyết."
Một hiểu lầm phổ biến khác là đặt dụng cụ tử cung (vòng tránh thai) có thể làm tăng nguy cơ thai ngoài tử cung. BS Vũ khẳng định điều này không đúng, người đặt vòng có nguy cơ mang thai nói chung thấp hơn rất nhiều, nhưng nếu đã có thai khi đặt vòng thì khả năng thai ngoài tử cung trong nhóm này cao hơn. "Dù đang đặt vòng, nếu có dấu hiệu có thai hoặc ra huyết bất thường, phụ nữ cần đi kiểm tra ngay để loại trừ thai ngoài tử cung", bác sĩ khuyến cáo.
Theo các bác sĩ, siêu âm đầu dò và xét nghiệm β-hCG là hai phương pháp quan trọng giúp chẩn đoán sớm thai ngoài tử cung. Với kỹ thuật hiện nay, phẫu thuật nội soi được xem là tiêu chuẩn điều trị nhờ ưu điểm ít xâm lấn, hồi phục nhanh và giảm nguy cơ dính sau mổ, có lợi cho phụ nữ còn nhu cầu sinh sản.
Từ ca bệnh này, các bác sĩ Bệnh viện Đại học Y khoa Phan Châu Trinh khuyến cáo, phụ nữ trong độ tuổi sinh sản không nên xem nhẹ các dấu hiệu như ra huyết bất thường, chậm kinh hoặc đau bụng âm ỉ kéo dài. "Thai ngoài tử cung có thể rất kín đáo nhưng biến chứng lại nguy hiểm. Phát hiện sớm giúp cứu người bệnh và giảm tối đa ảnh hưởng đến sức khỏe sinh sản", ThS - BS Nguyễn Hoàng Vũ nhấn mạnh.
Bình luận (0)