Ngày 28.10, Bệnh viện Tai mũi họng TP.HCM cho biết vừa phẫu thuật thành công cho một người đàn ông mắc cùng lúc 2 loại ung thư (ung thư thanh quản và tuyến giáp).
Bệnh nhân là ông Th. (53 tuổi, ở Tây Ninh), đến Bệnh viện Tai mũi họng TP.HCM khám vì bị khàn tiếng kéo dài hơn 6 tháng. Kết quả sinh thiết cho thấy ông bị ung thư thanh quản giai đoạn sớm. Qua siêu âm cổ trước phẫu thuật ung thư thanh quản, các bác sĩ phát hiện bệnh nhân mắc ung thư tuyến giáp.

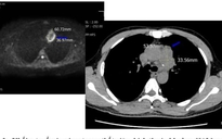
Bệnh nhân được phẫu thuật loại bỏ khối u ở 2 vị trí thanh quản và tuyến giáp
ẢNH: BVCC
Các bác sĩ đã phẫu thuật loại bỏ khối u ở cả 2 vị trí thanh quản và tuyến giáp. Ca mổ được thực hiện bằng dao siêu âm hiện đại, giúp hạn chế chảy máu và giúp người bệnh mau hồi phục.
Theo tiến sĩ - bác sĩ chuyên khoa 2 Lê Trần Quang Minh, Giám đốc Bệnh viện Tai mũi họng TP.HCM, đây là trường hợp rất hiếm gặp trên thế giới, bởi bệnh nhân mắc đồng thời 2 loại ung thư hoàn toàn khác nhau về vị trí và bản chất mô học.
“Việc điều trị đòi hỏi phẫu thuật đồng thời để lấy hết khối u ở cả 2 cơ quan, đồng thời quá trình xạ trị, hóa trị và theo dõi hậu phẫu phải được thiết kế riêng cho từng loại ung thư. Phẫu thuật được thực hiện bằng dao siêu âm là kỹ thuật mổ mới, không chảy máu, lành thương sau mổ nhanh”, bác sĩ Minh cho biết.
Bác sĩ Minh khuyến cáo, người dân cần tầm soát, khám sức khỏe định kỳ vì ung thư tuyến giáp giai đoạn sớm thường không có triệu chứng rõ ràng.
Khi bị khàn tiếng kéo dài trên 2 tuần và điều trị không giảm, bệnh nhân nên đến cơ sở chuyên khoa tai mũi họng để được khám, nội soi tầm soát ung thư thanh quản.
Bình luận (0)