Bạn cần biết
Tiện ích
Liên hệ
Theo dõi báo trên
Quảng cáo
Đặt báo
Đăng nhập
Bình luận mới được duyệt
Xem tất cả
Thông tin tài khoản
Đổi mật khẩu
Tin đã lưu
Tin đã xem
Đăng xuất
Chính trị
Chính trị
Thời sự
Thời sự
Thế giới
Thế giới
Kinh tế
Kinh tế
Đời sống
Đời sống
Sức khỏe
Sức khỏe
Giới trẻ
Giới trẻ
Giáo dục
Giáo dục
Du lịch
Du lịch
Văn hóa
Văn hóa
Giải trí
Giải trí
Thể thao
Thể thao
Công nghệ
Công nghệ - Game
Xe
Xe
Video
Video
Tiêu dùng
Tiêu dùng
Thời trang trẻ
Thời trang trẻ
Đóng menu
Chào ngày mới
Tin 24h
Tin thị trường
Tin 360
Video
Magazine
Tiện ích
Bạn cần biết
Liên hệ
Thông tin toà soạn
Liên hệ quảng cáo
Thuốc kháng viêm
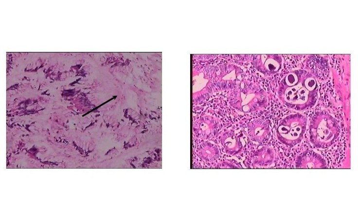
Đi chân đất, dùng corticoid tùy tiện: Nguy cơ giun lươn gây biến chứng nguy hiểm
Người bệnh nữ (72 tuổi, ở TP.HCM) nhập viện Bệnh viện Nhân dân 115 (TP.HCM) vì đau bụng vùng thượng vị. Soi dưới kính hiển vi, bác sĩ phát hiện ra 'thủ phạm' thực sự là giun lươn.
Những thói quen ít người biết dễ khiến thận suy yếu
Những loại thuốc nên có trong gia đình ngày tết
TP.HCM: Bé trai bị thủng dạ dày, ói ra máu do nhiễm vi khuẩn HP
Bị sưng phù mắt, hình thành ổ áp xe do một nốt mụn
Bị bong gân mắt cá chân, có phải sẽ tự lành?
Đây là nguyên nhân tại sao bạn đau nhức cơ thể khi bị bệnh
Dân sinh
Chớ dại tự chữa Covid-19 theo mạng!
Nguy hiểm khi tự chữa Covid-19: F0 không nên quá lo lắng
Sức khỏe
Lưu ý khi dùng thuốc kháng viêm điều trị các bệnh lý tai mũi họng
Đau ngực sau khi khỏi Covid-19, khi nào nên gọi cấp cứu?
Sức khỏe
Vai trò của thuốc kháng viêm trong điều trị vết thương
Ai Cập phát hiện cách điều trị Covid-19 hiệu quả chỉ bằng kháng sinh
Giới trẻ
F0 điều trị tại nhà thì uống thuốc gì, sử dụng như thế nào cho an toàn?
Nghẹn lòng nghe bác sĩ kể chuyện theo dõi F0 tại nhà
Thời sự
Sở Y tế TP.HCM cập nhật mới nhất về gói chăm sóc F0 cách ly tại nhà
Bộ Y tế tiếp nhận 403.000 liều vắc xin AstraZeneca từ Chính phủ Úc
Thời sự
Bệnh viện Nhi đồng 1 được giao mua 100.000 túi thuốc cho F0 cách ly tại nhà
TP.HCM: Q.3 đến tận nhà người dân hướng dẫn lấy mẫu xét nghiệm nhanh
Sức khỏe
Những điều cần biết nếu trở thành F0 cách ly tại nhà
Câu chuyện cách ly F0 tại nhà và những điều cần biết
Thời sự
Sở Y tế TP.HCM khẩn cấp thu hồi 2 công văn đề nghị mua thuốc điều trị Covid-19
Sở Y tế TP.HCM thu hồi văn bản chỉ định mua 2 loại thuốc điều trị Covid-19
Thời sự
Sở Y tế TP.HCM thu hồi văn bản chỉ định mua 2 loại thuốc điều trị Covid-19
TP.HCM: Hai bệnh viện tư nhân đầu tiên nhận điều trị bệnh nhân Covid-19
Sức khỏe
Điều gì xảy ra nếu bạn thường xuyên uống thuốc giảm đau?
Dấu hiệu ung thư tuyến tiền liệt đã di căn đến xương
Sức khỏe
Thấy những dấu hiệu này, đi khám gan ngay!
Nếu sốt kèm thêm các triệu chứng này, cần phải đi khám ngay!
Sức khỏe
10 dấu hiệu 'tố cáo' gan có thể đang bị nhiễm độc, đi khám ngay!
Nam giới sau 45 tuổi phải vượt qua '6 cửa' này để sống thọ
Sức khỏe
5 phút cứu sống bệnh nhân ói ra hơn lít máu tươi
Chuyên gia nói về sức khỏe âm đạo và những cách hiểu sai phổ biến
Sức khỏe
Vì sao bị viêm đại tràng, điều trị như thế nào?
Người dân bức xúc vì thay đổi nơi khám bệnh bằng thẻ bảo hiểm y tế
Sức khỏe
Những thực phẩm tuyệt vời thay thế thuốc kháng viêm
Những cách tự nhiên giúp giảm đau khớp
Giáo dục
Nam sinh sáng tạo thuốc kháng viêm từ vỏ cây mãng cầu xiêm
Nam sinh sáng tạo ứng dụng cầu cứu khẩn cấp
Sức khỏe
Aspirin làm giảm nguy cơ ung thư da
(TNO) Các nhà nghiên cứu Đan Mạch nói rằng những người dùng các loại thuốc kháng viêm không steroid (NSAID) như aspirin và ibuprofen giúp giảm nguy cơ bị u ác tính.
Top