Bạn cần biết
Tiện ích
Liên hệ
Theo dõi báo trên
Quảng cáo
Đặt báo
Đăng nhập
Bình luận mới được duyệt
Xem tất cả
Thông tin tài khoản
Đổi mật khẩu
Tin đã lưu
Tin đã xem
Đăng xuất
Chính trị
Chính trị
Thời sự
Thời sự
Thế giới
Thế giới
Kinh tế
Kinh tế
Đời sống
Đời sống
Sức khỏe
Sức khỏe
Giới trẻ
Giới trẻ
Giáo dục
Giáo dục
Du lịch
Du lịch
Văn hóa
Văn hóa
Giải trí
Giải trí
Thể thao
Thể thao
Công nghệ
Công nghệ - Game
Xe
Xe
Video
Video
Tiêu dùng
Tiêu dùng
Thời trang trẻ
Thời trang trẻ
Đóng menu
Chào ngày mới
Tin 24h
Tin thị trường
Tin 360
Video
Magazine
Tiện ích
Bạn cần biết
Liên hệ
Thông tin toà soạn
Liên hệ quảng cáo
Hạch
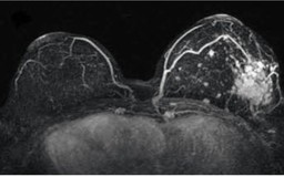
Những nguyên nhân nào gây sưng hạch bạch huyết ở nách?
Hạch bạch huyết nằm ở nhiều vị trí khác nhau trong cơ thể như nách, cổ và bẹn. Riêng ở nách có hơn 20 hạch bạch huyết. Sưng hạch bạch huyết ở vùng nách có thể do nhiều nguyên nhân khác nhau gây ra. Điều quan trọng là cần phải theo dõi sức khỏe chặt chẽ.
Cặp vợ chồng mắc ung thư cùng lúc và cùng khỏi bệnh
Bị nghẹn thắt cổ họng: Khi nào cần đi bác sĩ khám?
5 lưu ý phòng chống bệnh đậu mùa khỉ
Một tháng sụt 5 kg vì khối u lớn ở thận
4 loại quả hạch cực tốt giúp giảm cholesterol trong máu
Người về từ quốc gia có dịch đậu mùa khỉ cần theo dõi sức khỏe trong 21 ngày
Sức khỏe
Thuốc đích trong điều trị ung thư vú
Kiểm soát nguy cơ 'ung thư gia đình' do đột biến gien
Sức khỏe
Vì sao cần kiêng 'yêu' khi nghi mắc đậu mùa khỉ?
WHO: Tỷ lệ nhiễm đậu mùa khỉ cao đáng ngạc nhiên ở nhóm người này
Sức khỏe
Ác mộng ảnh hưởng thế nào đến cơ thể?
Chuyên gia hướng dẫn 5 cách giúp bạn tránh ác mộng
Sức khỏe
Cắt toàn bộ và tái tạo dạ dày mới từ ruột non cho bệnh nhân ung thư
Lợi ích không ngờ của trái bơ
Sức khỏe
Sáng nay, TP.HCM tiêm vắc xin cho trẻ: Dấu hiệu sau tiêm phụ huynh cần chú ý
Ngày mai TP.HCM tiêm vắc xin cho trẻ 5 - dưới 12 tuổi: Phụ huynh lưu ý gì?
Sức khỏe
Nếu sốt kiểu này, có thể bạn mắc bệnh nghiêm trọng
Một loại nấm có thể ngăn ngừa ung thư, bạn đã biết chưa?
Sức khỏe
Sưng hạch bạch huyết, khi nào cần đi khám?
Sưng hạch bạch huyết khi tiêm mũi 3 có bất thường?
Sức khỏe
Ăn uống lành mạnh hơn có thể giúp kéo dài tuổi thọ
Bác sĩ chia sẻ 8 nguyên tắc vàng giúp thận khỏe
Thế giới
Bệnh ung thư tự thuyên giảm sau khi mắc Covid-19
Trung Quốc phê duyệt thuốc điều trị Covid-19 nước ngoài đầu tiên
Sức khỏe
Tác dụng phụ có thể xảy ra sau khi tiêm mũi 3 vắc xin Pfizer
Sau tiêm mũi 3, đừng hoảng sợ nếu gặp tác dụng phụ này!
Sức khỏe
Sau tiêm mũi 3, đừng hoảng sợ nếu gặp tác dụng phụ này!
Tác dụng phụ của mũi 3 vắc xin Covid-19 khác gì so với mũi 2?
Top