Bạn cần biết
Tiện ích
Liên hệ
Theo dõi báo trên
Quảng cáo
Đặt báo
Đăng nhập
Bình luận mới được duyệt
Xem tất cả
Thông tin tài khoản
Đổi mật khẩu
Tin đã lưu
Tin đã xem
Đăng xuất
Chính trị
Chính trị
Thời sự
Thời sự
Thế giới
Thế giới
Kinh tế
Kinh tế
Đời sống
Đời sống
Sức khỏe
Sức khỏe
Giới trẻ
Giới trẻ
Giáo dục
Giáo dục
Du lịch
Du lịch
Văn hóa
Văn hóa
Giải trí
Giải trí
Thể thao
Thể thao
Công nghệ
Công nghệ - Game
Xe
Xe
Video
Video
Tiêu dùng
Tiêu dùng
Thời trang trẻ
Thời trang trẻ
Đóng menu
Chào ngày mới
Tin 24h
Tin thị trường
Tin 360
Video
Magazine
Tiện ích
Bạn cần biết
Liên hệ
Thông tin toà soạn
Liên hệ quảng cáo
Siêu âm
Chụp X-quang dưới 6 phút BHYT không thanh toán: Bộ Y tế đề nghị điều chỉnh
Bộ Y tế đã có công văn gửi Bộ Tài chính, đề nghị điều chỉnh công tác giám định, đảm bảo quyền lợi người bệnh bảo hiểm y tế (BHYT), sau khi nhận được phản ánh cơ quan bảo hiểm xã hội từ chối thanh toán chi phí khám bệnh, chữa bệnh BHYT trong trường hợp chụp X-quang dưới 6 phút, siêu âm tim dưới 30 phút.
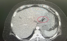
Cứu sống thanh niên bị nang giả tụy 'khủng' bằng kỹ thuật hiện đại
Không cần cấm bác sĩ siêu âm thông báo giới tính thai nhi
Suýt mất mạng do mảnh xương cá đâm thủng dạ dày
Sốt cao liên tục 8 ngày, nhập viện phát hiện hai ổ áp xe lớn trong gan
Tiêm filler để chỉnh cằm lẹm, cằm của nam thanh niên bị sưng đỏ như 'phát sáng'
Rạch khối u, hút 2 lít dịch mủ từ lưng người phụ nữ
Thời sự
TP.HCM ban hành giá khám sức khỏe cho hơn 1 triệu người cao tuổi
TP.HCM: Quy trình 6 bước khám sức khỏe người cao tuổi cần biết
Sức khỏe
Bệnh viện Bạch Mai ứng dụng AI chẩn đoán chính xác các bệnh phức tạp
Những ứng dụng AI mới nhất trong khám chữa bệnh
Sức khỏe
Vì sao bàng quang phải đầy khi siêu âm?
Phát hiện ung thư bàng quang di căn sau thời gian tự ý điều trị tại nhà
Tin tức công nghệ
Ứng dụng giúp xua đuổi muỗi trên iPhone có tác dụng?
Vì sao các ứng dụng iPhone vẫn tốt hơn Android?
Sức khỏe
Sản phụ mang thai khối ung thư hiếm gặp
Phẫu thuật điều trị ung thư tiêu hóa bằng robot
Sức khỏe
Bị căng cơ do tập gym: Khi nào cần gặp bác sĩ?
Thức dậy bị đau chân, cô gái ở Anh tử vong vì 'kẻ giết người thầm lặng'
Sức khỏe
Thiết lập mạng lưới khám chữa bệnh từ xa về tim mạch
Bị tai nạn khi đi khám bệnh, chồng chết, vợ và 2 con nhỏ nguy kịch
Sức khỏe
Cảnh báo: Bé 10 tháng nuốt hạt nở đồ chơi phải mổ 5 lần để cứu sống
Bé nằm nghỉ trưa, bạn thảy móc khóa lên vô tình rơi vào miệng nuốt xuống ruột
Khỏe đẹp mỗi ngày
Hỏi đáp về bệnh suy giãn tĩnh mạch và hướng điều trị
Bệnh viện Đồng Nai -2 hân hạnh đồng hành cùng chuyên mục này
Sức khỏe
Phẫu thuật cắt sỏi thận, người đàn ông bị 'bốc hơi' luôn 1 quả thận
Đây là nhóm máu có nguy cơ cao bị sỏi thận
Bạn cần biết
Mặt tròn, chảy xệ thẩm mỹ khắc phục bằng phương pháp nào?
“Nếu sở hữu khuôn mặt tròn, dày mỡ sẽ dễ dẫn đến chảy xệ kèm theo nọng cằm xấu xí. Tuy nhiên nếu chọn đúng giải pháp thẩm mỹ bạn hoàn toàn có thể khắc phục những nhược điểm này”, bác sĩ thẩm mỹ Phương Thảo chia sẻ.
Sức khỏe
Ghi nhận song thai cùng trứng khác kiểu hình và kiểu gien
Cô gái 19 tuổi sinh đôi khác cha: Bác sĩ lý giải sao về trường hợp này
Sức khỏe
Chọc hút ối có gây nguy cơ cho thai nhi?
Đồng nhiễm vi rút cúm và sốt xuất huyết làm tăng nguy cơ tai biến thai nhi
Sức khỏe
5 bệnh viện khám sàng lọc sớm ung thư vú miễn phí
Cảnh báo nấm mốc đen ‘ăn’ xương hàm, ổ mắt gây hoại tử
Dân sinh
Bệnh viện Chợ Rẫy: Bảo hiểm y tế chưa trả từ 900 - 1.000 tỉ đồng
TP.HCM báo động thiếu điều dưỡng
Sức khỏe
Hy hữu: Que tránh thai "đi lạc" cắm sâu vào cơ bắp tay người phụ nữ
Cô gái 19 tuổi sinh đôi khác cha: Bác sĩ lý giải sao về trường hợp này
Chào ngày mới
Người bệnh chờ đến bao giờ?
Nhiều câu hỏi cho thu phí không dừng
Sức khỏe
Cách tự kiểm tra để phát hiện ung thư tinh hoàn
Bạn đã biết cách tự kiểm tra ung thư tinh hoàn chưa?
Khỏe đẹp mỗi ngày
Hỏi đáp về bệnh tuyến giáp và hướng điều trị
Bệnh viện Đồng Nai -2 hân hạnh đồng hành cùng chuyên mục này.
Sức khỏe
Phương pháp phẫu thuật mới điều trị ngực khủng, phì đại
Chuyên gia khuyến cáo tư thế sai khi 'yêu' gây gãy 'cậu nhỏ'
Xem thêm
Top