Bạn cần biết
Tiện ích
Liên hệ
Theo dõi báo trên
Quảng cáo
Đặt báo
Đăng nhập
Bình luận mới được duyệt
Xem tất cả
Thông tin tài khoản
Đổi mật khẩu
Tin đã lưu
Tin đã xem
Đăng xuất
Chính trị
Chính trị
Thời sự
Thời sự
Thế giới
Thế giới
Kinh tế
Kinh tế
Đời sống
Đời sống
Sức khỏe
Sức khỏe
Giới trẻ
Giới trẻ
Giáo dục
Giáo dục
Du lịch
Du lịch
Văn hóa
Văn hóa
Giải trí
Giải trí
Thể thao
Thể thao
Công nghệ
Công nghệ - Game
Xe
Xe
Video
Video
Tiêu dùng
Tiêu dùng
Thời trang trẻ
Thời trang trẻ
Đóng menu
Chào ngày mới
Tin 24h
Tin thị trường
Tin 360
Video
Magazine
Tiện ích
Bạn cần biết
Liên hệ
Thông tin toà soạn
Liên hệ quảng cáo
Khát nước
Sống cạnh hồ chứa, người dân vẫn thiếu nước
Dù sống cạnh bờ đập dự án hồ chứa nước Đarana, nhưng nhiều hộ dân xã Nghĩa Trung (Đồng Nai) vẫn chịu cảnh "khát" nước tưới tiêu, do hồ chưa thể tích nước.
Có nên uống nước trước khi ngủ?
Khát nước dữ dội, bệnh gì?
Bác sĩ: Uống nước giờ nào tốt cho sức khỏe hơn?
Trong độ tuổi 30: 4 dấu hiệu cảnh báo đường huyết cao bất thường
Sụt 10 kg trong 1 tháng, đi khám phát hiện biến chứng nặng của đái tháo đường
Điều gì xảy ra với cơ thể khi chất điện giải thấp?
Sức khỏe
4 dấu hiệu xuất hiện vào buổi sáng cảnh báo tiểu đường
3 loại trà thảo mộc người bị tiểu đường nên tránh
Sức khỏe
Bác sĩ tiết lộ sai lầm số 1 mọi người có thể mắc phải khi uống nước
Nghiên cứu mới phát hiện uống đủ nước mỗi ngày giúp sống thọ hơn
Sức khỏe
5 dấu hiệu vào buổi sáng cảnh báo huyết áp cao
Người bị huyết áp cao nên tránh loại chất béo nào?
Sức khỏe
Nắng nóng oi bức, dấu hiệu nào cho thấy cơ thể đang thiếu nước?
Những thực phẩm có thể gây mất nước cơ thể
Sức khỏe
Ngăn ngừa biến cố tim mạch do nắng nóng gay gắt
Nắng nóng, coi chừng đột quỵ do nhiệt
Sức khỏe
Triệu chứng thầm lặng của bệnh tiểu đường khi thức dậy vào buổi sáng
Phát hiện lợi ích tuyệt vời của cà phê với người bệnh tiểu đường
Sức khỏe
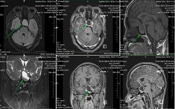
Uống 10 lít nước một ngày cũng không đã khát, không ngờ là do u não
4 dấu hiệu sớm của khối u não, người mắc nên đi khám ngay
Sức khỏe
Tự mua thuốc uống khi mệt mỏi, khát nước nhiều, cụ bà phải cấp cứu
Té ngã tự mua thuốc uống, người phụ nữ bị áp xe đùi
Thời sự
Khi nào trạm bơm nghìn tỉ ở Hà Nội hết ‘khát nước’ giữa mùa mưa?
Hà Nội thất hứa, trạm bơm nghìn tỉ đối mặt nguy cơ tiếp tục ‘khát nước’
Thời sự
Hà Nội thất hứa, trạm bơm nghìn tỉ đối mặt nguy cơ tiếp tục ‘khát nước’
Hà Nội cứ mưa là ngập, nhưng dự án trạm bơm xây 10 năm chưa xong
Sức khỏe
Chuyên gia giải thích 'uống nước ấm hay nước lạnh tốt hơn?'
Chuyên gia nói gì về việc uống nước ấm ngay khi thức dậy?
Sức khỏe
Nếu bạn lo lắng con mình có thể mắc tiểu đường, để ý 6 triệu chứng sau
Điều gì xảy ra khi bạn bị loét bàn chân do tiểu đường?
Xem - Nghe
Lý Tiểu Long chết do uống quá nhiều nước?
Nhìn lại cuộc đời và sự nghiệp Lý Tiểu Long ở Seattle
Sức khỏe
Cơ thể mệt mỏi do mất nước, khi nào cần đi khám bác sĩ?
Cơ thể mất nước có gây cao huyết áp không?
Sức khỏe
5 dấu hiệu cảnh báo lượng đường trong máu 'cao nguy hiểm'
Một trong những loại sữa tốt nhất để kiểm soát mức đường huyết
Sức khỏe
Bệnh tiểu đường ảnh hưởng ra sao đến bàng quang?
Dấu hiệu mức đường huyết tăng cao xuất hiện ở bàn chân
Sức khỏe
6 dấu hiệu ‘tố cáo’ lượng đường trong máu của bạn quá cao
Chuyên gia dinh dưỡng: Chuối ngọt như vậy, người tiểu đường có nên ăn?
Sức khỏe
5 triệu chứng giúp bạn nhận biết tiền tiểu đường trước khi quá muộn
Hai vợ chồng liệt toàn thân do ăn hạt muồng tây trị bệnh
Sức khỏe
Một triệu chứng sớm của bệnh tiểu đường xuất hiện ở miệng
7 tác dụng phụ đáng ngạc nhiên của cà phê đen
Sức khỏe
8 dấu hiệu cảnh báo bệnh tiểu đường
Ăn gừng mỗi ngày, điều gì xảy ra với đường huyết?
Xem thêm
Top