Bạn cần biết
Tiện ích
Liên hệ
Theo dõi báo trên
Quảng cáo
Đặt báo
Đăng nhập
Bình luận mới được duyệt
Xem tất cả
Thông tin tài khoản
Đổi mật khẩu
Tin đã lưu
Tin đã xem
Đăng xuất
Chính trị
Chính trị
Thời sự
Thời sự
Thế giới
Thế giới
Kinh tế
Kinh tế
Đời sống
Đời sống
Sức khỏe
Sức khỏe
Giới trẻ
Giới trẻ
Giáo dục
Giáo dục
Du lịch
Du lịch
Văn hóa
Văn hóa
Giải trí
Giải trí
Thể thao
Thể thao
Công nghệ
Công nghệ - Game
Xe
Xe
Video
Video
Tiêu dùng
Tiêu dùng
Thời trang trẻ
Thời trang trẻ
Đóng menu
Chào ngày mới
Tin 24h
Tin thị trường
Tin 360
Video
Magazine
Tiện ích
Bạn cần biết
Liên hệ
Thông tin toà soạn
Liên hệ quảng cáo
Bệnh viện Nhân dân 115
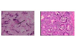
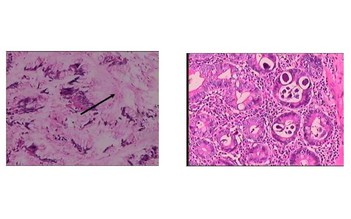
Đau bụng tưởng bình thường, nhiều người trẻ mắc ung thư đại trực tràng giai đoạn muộn
Mệt mỏi, da xanh xao, đau bụng tưởng bình thường, nhiều người trẻ phát hiện mắc ung thư đại trực tràng giai đoạn muộn khi đến bệnh viện thăm khám.
Du khách đột quỵ ở Côn Đảo đi trực thăng cấp cứu 300 triệu đồng
Tự uống thuốc giảm đau, cụ ông 87 tuổi nhập viện ở TP.HCM
Đi chân đất, dùng corticoid tùy tiện: Nguy cơ giun lươn gây biến chứng nguy hiểm
Xe ôm chở người đàn ông ở TP.HCM đi cấp cứu do sốc phản vệ thuốc
Lần đầu tiên cấp cứu đột quỵ thành công ngay tại Côn Đảo
Bệnh viện Tâm Anh và Bệnh viện Nhân dân 115 ký kết hợp tác toàn diện
Thời sự
2 bệnh viện Tâm Anh và Nhân dân 115 sẽ ký kết hợp tác
Bệnh viện Tâm Anh giới thiệu dàn robot khủng tại tòa nhà Quốc hội
Thời sự
Cứu nữ bệnh nhân vỡ u quái buồng trứng, răng và tóc tràn ra ổ bụng
Bệnh viện Nhân dân 115 TP.HCM lần đầu tán sỏi túi mật xuyên gan qua da
Thời sự
Cấp cứu nam bệnh nhân bị kẹt cán cây lau nhà trong hậu môn
Bệnh viện Nhân dân 115 TP.HCM lần đầu tán sỏi túi mật xuyên gan qua da
Thời sự
Cứu cô gái trẻ thường hút thuốc lá điện tử, đột ngột hôn mê
Bệnh viện Nhân dân 115 TP.HCM cấp cứu 2 người kiệt sức khi tham gia giải chạy
Thời sự
Bệnh viện Nhân dân 115 TP.HCM lần đầu tán sỏi túi mật xuyên gan qua da
Bệnh viện Nhân dân 115 TP.HCM cấp cứu 2 người kiệt sức khi tham gia giải chạy
Thời sự
Nam tài xế trẻ đột quỵ tại ghế lái sau khi vừa trả khách
TP.HCM: Không kịp đến bệnh viện, sản phụ sinh con ngay trên xe cấp cứu
Thời sự
Cứu nam thanh niên bị tra tấn dã man tại Campuchia
Người đàn ông đánh dã man 2 thiếu niên ở quán nét: Hành vi quá côn đồ
Sức khỏe
Người đàn ông bất tỉnh trên đường do ngộ độc bóng cười
Thêm các trường hợp liệt chi, rối loạn tâm thần do lạm dụng bóng cười
Thời sự
Bệnh viện Nhân dân 115 TP.HCM cấp cứu 2 người kiệt sức khi tham gia giải chạy
Nam bệnh nhân trẻ bị hôn mê khi chạy marathon 42 km điều trị tại Chợ Rẫy
Thời sự
Sự thật clip Bệnh viện Nhân dân 115 ‘móc túi người dân’
Bệnh viện Nhân dân 115 TP.HCM cứu thành công người Nga bị đột quỵ
Thời sự
Bệnh viện Nhân dân 115 TP.HCM cứu thành công người Nga bị đột quỵ
TP.HCM: Lập trung tâm đột quỵ ở cửa ngõ tây bắc
Thời sự
TP.HCM: Lập trung tâm đột quỵ ở cửa ngõ tây bắc
TP.HCM: Bệnh viện đa khoa khu vực Hóc Môn xây giai đoạn 2 với 500 giường
Thời sự
TP.HCM: Thanh tra toàn diện Bệnh viện Nhân dân 115
Bệnh viện Nhân dân 115 lập Trung tâm nghiên cứu, phát triển lĩnh vực sức khỏe
Thời sự
Cấp cứu 2 người trẻ bị ngộ độc 'ma túy nước biển'
TP.HCM: Tai nạn hy hữu, con dùng đồ chơi đập vỡ tinh hoàn của cha
Thời sự
TP.HCM: Tai nạn hy hữu, con dùng đồ chơi đập vỡ tinh hoàn của cha
Mảnh gỗ 4,5 cm 'bị quên' 1 tháng trong hốc mắt nam thanh niên
Dân sinh
Người phụ nữ mất 4 năm đi chữa trị mới tìm ra nguyên nhân ung thư
Con muốn sống: Người mẹ nghèo khóc nghẹn khẩn cầu cứu con ung thư
Dân sinh
Bệnh viện Nhân dân 115 TP.HCM cứu nạn nhân bị thủng tim do máy bắn đinh
Bệnh viện Nhân dân 115 lập Trung tâm nghiên cứu, phát triển lĩnh vực sức khỏe
Doanh nghiệp
Bệnh viện Nhân Dân 115 tiếp nhận Mô hình mô phỏng thực hành nội soi Mikoto
Trong khuôn khổ hợp tác giữa Công ty TNHH Fujifilm Việt Nam và Bệnh viện Nhân Dân 115, với cam kết hợp tác phát triển các hoạt động đào tạo nguồn nhân lực chất lượng cao trong lĩnh vực y tế, đặc biệt là lĩnh vực nội soi tiêu hóa.
Sức khỏe
Nguy kịch do dùng 'thuốc tể' trị tiểu đường không nhãn mác
Béo phì dễ mắc bệnh đái tháo đường
Dân sinh
CSGT Phú Lâm dẫn đường đưa bệnh nhân tai biến đi cấp cứu
Sau phản ánh của Thanh Niên, CSGT xử lý nhiều ô tô 'chiếm' đường Phạm Văn Đồng
Xem thêm
Top