Bạn cần biết
Tiện ích
Liên hệ
Theo dõi báo trên
Quảng cáo
Đặt báo
Đăng nhập
Bình luận mới được duyệt
Xem tất cả
Thông tin tài khoản
Đổi mật khẩu
Tin đã lưu
Tin đã xem
Đăng xuất
Chính trị
Chính trị
Thời sự
Thời sự
Thế giới
Thế giới
Kinh tế
Kinh tế
Đời sống
Đời sống
Sức khỏe
Sức khỏe
Giới trẻ
Giới trẻ
Giáo dục
Giáo dục
Du lịch
Du lịch
Văn hóa
Văn hóa
Giải trí
Giải trí
Thể thao
Thể thao
Công nghệ
Công nghệ - Game
Xe
Xe
Video
Video
Tiêu dùng
Tiêu dùng
Thời trang trẻ
Thời trang trẻ
Đóng menu
Chào ngày mới
Tin 24h
Tin thị trường
Tin 360
Video
Magazine
Tiện ích
Bạn cần biết
Liên hệ
Thông tin toà soạn
Liên hệ quảng cáo
Khối u
Lấy khối u xơ tử cung 'khủng' nặng 4,5 kg cho nữ bệnh nhân 47 tuổi
Bệnh viện Sản - Nhi tỉnh Quảng Ngãi vừa phẫu thuật thành công cho một nữ bệnh nhân có khối u xơ tử cung nặng khoảng 4,5 kg. Các bác sĩ cảnh báo bệnh có thể gây biến chứng nghiêm trọng nếu không được điều trị kịp thời.
BV Phương Châu: Kỳ tích giữ thai đến 39 tuần trong tử cung có 8 khối u 'khủng'
Lòng đỏ trứng và phát hiện mới bất ngờ trong hỗ trợ điều trị ung thư
Phương pháp điều trị ung thư vú mới nhiều triển vọng
Hai bệnh viện ở TP.HCM phối hợp phẫu thuật ca ung thư cổ tử cung tái phát
Khối u 10 kg như 'hồ máu' trên lưng bệnh nhân 49 kg mắc bệnh hiếm
Chủ quan đau bụng kéo dài, người phụ nữ phát hiện khối u buồng trứng 14 cm
Sức khỏe
Bóc tách khối u xơ tử cung gần 12 kg, cứu cơ hội làm mẹ cho bệnh nhân 25 tuổi
Các bác sĩ Bệnh viện Từ Dũ vừa thực hiện thành công ca phẫu thuật bóc tách khối u xơ tử cung "khổng lồ" nặng gần 12 kg trên bệnh nhân trẻ, đồng thời bảo tồn được tử cung. Đây là yếu tố then chốt giúp người bệnh vẫn còn cơ hội làm mẹ trong tương lai.
Xem thêm
Những điều cần biết về chăm sóc răng miệng cho bệnh nhân ung thư
Thời sự
U xơ tử cung 12 kg, to như bụng mang song thai trong người cô gái trẻ
Phẫu thuật thành công ca u xơ tử cung dính phức tạp, biến chứng nguy hiểm
Thời sự
Đau bụng tưởng bình thường, nhiều người trẻ mắc ung thư đại trực tràng giai đoạn muộn
Ung thư đại trực tràng trẻ hóa: Người trẻ cần làm gì để phòng ngừa?
Dân sinh
Bệnh viện Chợ Rẫy lần đầu đại phẫu '10 tiếng' cứu bệnh nhân ung thư hốc mũi
Phát hiện ung thư cổ tử cung ‘siêu tốc’ tại Việt Nam, chỉ 5 phút
Sức khỏe
Nghiên cứu: Thuốc nhỏ mũi mới tiêu diệt hoàn toàn khối u chỉ sau 2 liều
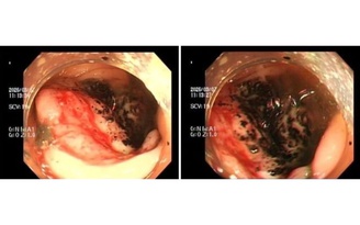
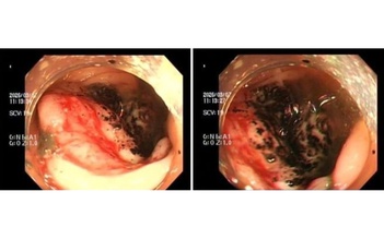
Tưởng rối loạn tiêu hóa, đi khám phát hiện khối u ruột và ung thư đại tràng
Sức khỏe
Hiếm gặp: Cụ ông mất hoàn toàn thị lực mắt trái vì khối u nhầy xoang bướm
Tưởng rối loạn tiêu hóa, đi khám phát hiện khối u ruột và ung thư đại tràng
Sức khỏe
Tưởng rối loạn tiêu hóa, đi khám phát hiện khối u ruột và ung thư đại tràng
Tưởng chướng bụng hóa u đại tràng gây biến chứng
Sức khỏe
Mổ nội soi lấy khối u nặng hơn 6 kg cho nữ bệnh nhân ở Vĩnh Long
Hiếm gặp: Tử cung chứa hơn 10 kg gồm em bé và khối u 'khủng'
Thời sự
Bệnh viện Chợ Rẫy 'trả lại' gương mặt cho bệnh nhân bị u khủng làm biến dạng
Ca can thiệp bào thai cực hiếm, cứu thai nhi mắc khối u nhau thai khổng lồ
Sức khỏe
Phẫu thuật lấy khối u xơ tử cung nặng 4 kg cho bệnh nhân
Phẫu thuật lấy ra búi tóc nặng nửa ký trong dạ dày bệnh nhi
Thời sự
Bệnh viện Chợ Rẫy phẫu thuật thành công u tuyến yên khổng lồ
Phẫu thuật lấy khối u tuyến yên ở nền sọ
Sức khỏe
TP.HCM: Nam sinh đau đầu tưởng do học tập căng thẳng hóa ra u não
Bác sĩ chỉ cách uống nước đúng để tránh đau đầu, mệt mỏi cả ngày
Y tế thông minh
Tình cờ phát hiện ung thư phổi nhờ khám sức khỏe định kỳ
Tìm lại khứu giác sau ca phẫu thuật 2 trong 1
Sức khỏe
Cụ bà mang khối u đầu mũi hoại tử, chảy máu liên tục
Cắt tách dưới niêm mạc qua nội soi, giải pháp loại bỏ khối u tiêu hóa
Sức khỏe
Khám sức khỏe tổng quát, phát hiện khối bướu bất thường ở thận
3 khối bướu mỡ nặng 1,5 kg được lấy ra khỏi cơ thể người phụ nữ
Sức khỏe
Đau đầu, yếu nửa người, khám bệnh phát hiện khối u màng não nặng 600 gram
Đau đầu nhiều năm, đi khám phát hiện khối u màng não to hơn quả trứng
Sức khỏe
Đau bụng nhẹ, đi khám phát hiện ung thư gan
Phẫu thuật nội soi, cắt bỏ u gan sau 60 phút
Sức khỏe
Thuốc mới tiêu diệt tế bào ung thư, không tác dụng phụ
'Siêu vắc xin' ngừa ung thư: Bước đầu thành công đáng kinh ngạc!
Sức khỏe
Khám trào ngược dạ dày, ai ngờ phát hiện khối u lớn phải phẫu thuật
Vì sao nhiều người dễ bị chướng bụng sau ăn?
Sức khỏe
'Siêu vắc xin' ngừa ung thư: Bước đầu thành công đáng kinh ngạc!
Nga: Vắc xin ung thư giảm 80% khối u chờ cấp phép sử dụng lâm sàng
Xem thêm
Top