Bạn cần biết
Tiện ích
Liên hệ
Theo dõi báo trên
Quảng cáo
Đặt báo
Đăng nhập
Bình luận mới được duyệt
Xem tất cả
Thông tin tài khoản
Đổi mật khẩu
Tin đã lưu
Tin đã xem
Đăng xuất
Chính trị
Chính trị
Thời sự
Thời sự
Thế giới
Thế giới
Kinh tế
Kinh tế
Đời sống
Đời sống
Sức khỏe
Sức khỏe
Giới trẻ
Giới trẻ
Giáo dục
Giáo dục
Du lịch
Du lịch
Văn hóa
Văn hóa
Giải trí
Giải trí
Thể thao
Thể thao
Công nghệ
Công nghệ - Game
Xe
Xe
Video
Video
Tiêu dùng
Tiêu dùng
Thời trang trẻ
Thời trang trẻ
Đóng menu
Chào ngày mới
Tin 24h
Tin thị trường
Tin 360
Video
Magazine
Tiện ích
Bạn cần biết
Liên hệ
Thông tin toà soạn
Liên hệ quảng cáo
Viêm gan
Khám sức khỏe tiền hôn nhân: Vì sao các cặp đôi nên chuẩn bị sớm?
Trước khi bước vào cuộc sống hôn nhân, nhiều cặp đôi trẻ hiện nay không chỉ chuẩn bị cho lễ cưới mà còn chủ động quan tâm đến sức khỏe của cả hai. Khám sức khỏe tiền hôn nhân đang dần trở thành một xu hướng, giúp các cặp đôi hiểu rõ tình trạng sức khỏe, chuẩn bị tâm lý và kiến thức cần thiết cho cuộc sống gia đình trong tương lai.
Nghiên cứu về 36 loại ung thư: 3 yếu tố nguy cơ hàng đầu được hé lộ
Bác sĩ 24/7: Người bị viêm gan có nên ăn trứng không?
Nước rau má: Uống mỗi ngày có tốt cho gan?
Người bị gan nhiễm mỡ có nên uống dầu cá omega-3?
Bác sĩ 24/7: Làm sao biết gan khỏe, xét nghiệm gì tìm ra bệnh?
Đau bụng nhẹ, đi khám phát hiện ung thư gan
Sức khỏe
Bí đao và khổ qua: Cặp đôi giúp giảm viêm và hạ men gan
Uống nước ép khổ qua hằng ngày có thật sự giúp hạ đường huyết?
Sức khỏe
Uống nước atisô mỗi ngày tốt cho gan như thế nào?
Men gan cao, ăn rau gì giúp phục hồi nhanh?
Sức khỏe
Bác sĩ tiết lộ loại thức uống có thể làm giảm mỡ trong gan
Bác sĩ mách 6 thực phẩm giúp đánh tan mỡ bụng hiệu quả
Sức khỏe
Chuyên gia: Chỉ 1 - 2 tép tỏi mỗi ngày làm điều bất ngờ cho tim, gan của bạn!
Điều gì xảy ra với huyết áp khi bạn ăn tỏi?
Sức khỏe
Trào lưu thải độc gan, thận: Đừng để mong muốn thải độc thành 'nạp độc'!
Bác sĩ: 'Uống chanh pha muối hạt trị nhiều bệnh' là không có cơ sở khoa học
Sức khỏe
Viện Vệ sinh dịch tễ T.Ư nghiên cứu về bệnh truyền nhiễm mới nổi và tái nổi
Viện Vệ sinh dịch tễ T.Ư tiêm vắc xin Pentaxim đợt 4
Sức khỏe
5 món ăn sáng giúp làm sạch gan và hạ men gan
Giảm men gan, mát gan: Những loại trái cây đừng bỏ qua
Sức khỏe
3 tách cà phê mỗi ngày: Phát hiện tác dụng bất ngờ với gan
Bác sĩ: Tác dụng 'bí mật' chỉ cữ cà phê sáng mới có!
Sức khỏe
5 loại trái cây giúp mát gan
Giảm men gan, mát gan: Những loại trái cây đừng bỏ qua
Thành tựu y khoa
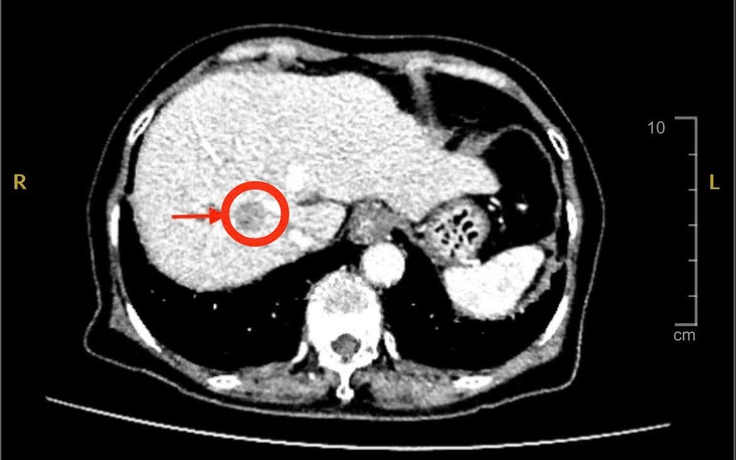
Viêm gan mạn tính - nguy cơ tiềm ẩn gây xơ gan, ung thư gan
Thống kê của Globocan 2020 cho thấy, nước ta có 26.418 ca ung thư gan mới, 25.272 ca tử vong, chiếm tỷ lệ tử vong cao nhất trong các loại ung thư; trong đó, viêm gan B, C mạn tính được xem là "thủ phạm".
Sức khỏe
3 món khiến gan dễ bị viêm nếu ăn chung với chuối
4 kiểu ăn chay sai cách khiến gan nhiễm mỡ
Sức khỏe
Thiếu ngủ: Tác hại khôn lường đối với gan!
Nghiên cứu: Làm điều này có thể bù đắp tác hại của thiếu ngủ
Sức khỏe
Gan sẽ 'kêu cứu' nếu kết hợp cà phê với 4 thứ quen thuộc này
Tách cà phê sáng giúp giảm nguy cơ ung thư gì?
Sức khỏe
Gan nhiễm mỡ: 4 món quen thuộc âm thầm gây hại cho gan
Vì sao người gầy cũng có thể bị gan nhiễm mỡ?
Sức khỏe
Xu hướng mới trong điều trị bệnh tiêu hóa - gan mật
Loại hạt 'nhỏ mà có võ' bảo vệ tim, gan, thận, não, da
Sức khỏe
Loại hạt 'nhỏ mà có võ' bảo vệ tim, gan, thận, não, da
4 món ăn cực tốt giúp người tuổi 50 tránh ung thư, đột quỵ, tiểu đường
Sức khỏe
Cẩn trọng trào lưu trên mạng xã hội: Ăn nội tạng, thịt sống, nguy cơ khó lường
Bác sĩ 24/7: Người thích ăn nội tạng động vật nên lưu ý gì?
Sức khỏe
Làm sao để phân biệt triệu chứng viêm gan do virus với rượu bia?
5 loại viêm gan cần biết để bảo vệ sức khỏe gan
Sức khỏe
Vì sao người gầy cũng có thể bị gan nhiễm mỡ?
Nhiều người không biết mình bị gan nhiễm mỡ, chớ coi thường!
Sức khỏe
4 thói quen hằng ngày giúp làm sạch gan
Vì sao người gầy vẫn bị gan nhiễm mỡ?
Xem thêm
Top